-
-
-
Tổng tiền thanh toán:
-
U gan ác tính: Hiểu đúng để phát hiện sớm và điều trị kịp thời
17/09/2025
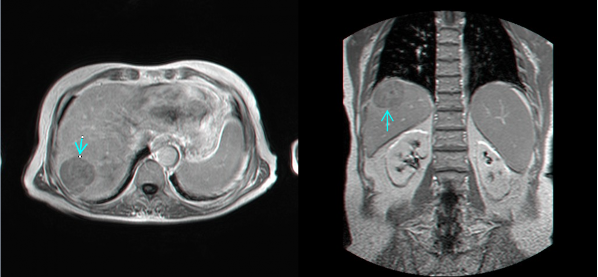
1. Khái niệm về u gan ác tính
U gan ác tính là khối u xuất hiện trong nhu mô gan do tế bào gan tăng sinh bất thường hoặc do tế bào ung thư từ cơ quan khác di căn. Bệnh thường khó nhận biết khi còn ở giai đoạn đầu.
2. Nguyên nhân phổ biến
-
Viêm gan B, C mạn tính làm tổn thương gan kéo dài.
-
Xơ gan do rượu, gan nhiễm mỡ hoặc viêm gan lâu năm.
-
Độc tố Aflatoxin trong thực phẩm nấm mốc.
-
Uống rượu bia thường xuyên.
-
Yếu tố di truyền hoặc bất thường gen.
![]()
3. Triệu chứng thường gặp
-
Đau âm ỉ hoặc tức vùng hạ sườn phải.
-
Mệt mỏi, chán ăn, sút cân nhanh.
-
Vàng da, vàng mắt, nước tiểu sẫm màu.
-
Đầy bụng, buồn nôn hoặc gan to khi thăm khám.
-
Ở giai đoạn muộn có thể xuất hiện cổ trướng, phù chân.
4. Chẩn đoán

-
Siêu âm để phát hiện khối u.
-
CT, MRI đánh giá mức độ xâm lấn.
-
Xét nghiệm AFP và kiểm tra chức năng gan.
-
Sinh thiết giúp xác định bản chất tế bào u.
5. Phương pháp điều trị
-
Phẫu thuật cắt bỏ u: Dành cho trường hợp khối u khu trú và gan hoạt động tốt.
-
Ghép gan: Áp dụng cho người suy gan nhưng đáp ứng tiêu chuẩn.
-
Điều trị tại chỗ: TACE, tiêm cồn, đốt sóng cao tần.
-
Điều trị toàn thân: Thuốc nhắm trúng đích, liệu pháp miễn dịch hoặc hóa trị.

Việc lựa chọn phương pháp phụ thuộc vào giai đoạn bệnh và chức năng gan của người bệnh.
6. Biện pháp phòng ngừa
-
Tiêm phòng viêm gan B.
-
Hạn chế rượu bia, tránh ăn thực phẩm chứa nấm mốc.
-
Giữ cân nặng ổn định, tập thể dục thường xuyên.
-
Khám định kỳ nếu có tiền sử viêm gan hoặc xơ gan.
Các tin khác
- 7 biện pháp bảo vệ an toàn khi gần gũi cơ thể từ đường miệng đến vùng thân dưới và khu vực phía sau cho cả nam và nữ 21/11/2025
- Cúm gia cầm có lây sang người không? Sự thật bạn cần biết ngay 20/11/2025
- 5 triệu chứng điển hình cảnh báo cúm mùa và cách chăm sóc đúng để nhanh hồi phục 19/11/2025
- Triệu chứng hô hấp ở gia súc do cúm D: Nguyên nhân, mức độ nguy hiểm và cách phòng tránh 18/11/2025
- Cúm C: Triệu chứng nhẹ nhưng dễ lan nhanh – Hiểu đúng để phòng ngừa hiệu quả 17/11/2025
- Sốt Cao, Đau Nhức, Ho – Có Phải Cúm B? Dấu Hiệu Nhận Biết và Cách Xử Lý Đúng Chuẩn 15/11/2025
- Cúm A: Sốt cao, đau nhức toàn thân, ho nhiều – Dấu hiệu nhận biết sớm và cách phòng ngừa hiệu quả 14/11/2025